Dentiste Esthétique à Paris 16 ème - Facettes
Cabinet dentaire du Dr NAHON- Dentisterie Esthétique - Implant dentaire
+33 1 45 04 53 34
73 Avenue Paul Doumer, 75116 Paris

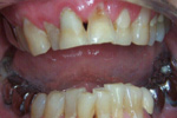
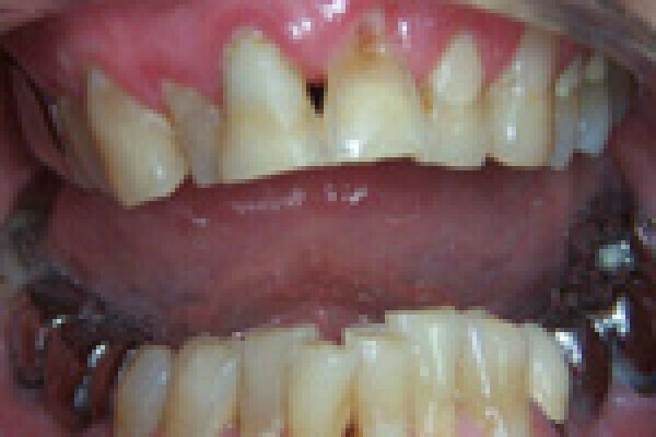
Remplacement de dents usées, colorées avec un déchaussement dentaire


nahon-cas-1-1.jpg nahon-cas-1-2.jpg

Ce patient présente des dents en apparence déchaussées, les gencives sont enflammées et les collets très usés. On note en bas un encombrement dentaire très inesthétique.

nahon-cas-1-3.jpg nahon-cas-1-4.jpg

8 facettes ont été placées en haut et nous avons fait en même temps un traitement des gencives (en 2 séances espacées de 6 jours : 7 facettes et un bridge remplaçant les dents en métal) ont été placées en bas avec aussi un traitement des gencives (en 2 séances).

Il a fallu 4 séances en tout pour obtenir ce résultat, les gencives sont maintenant parfaitement saines, l'anatomie dentaire est compatible avec une hygiène plus simple.
Notre semble rajeuni de 10 ans.