Dentiste Esthétique à Paris 16 ème - Facettes
Cabinet dentaire du Dr NAHON- Dentisterie Esthétique - Implant dentaire
+33 1 45 04 53 34
73 Avenue Paul Doumer, 75116 Paris

Correction d'une microdontie associée avec des diastèmes à Paris (16)


Cas clinique par le Dr Jaques NAHON

 

 

 

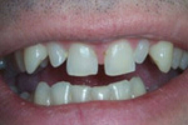
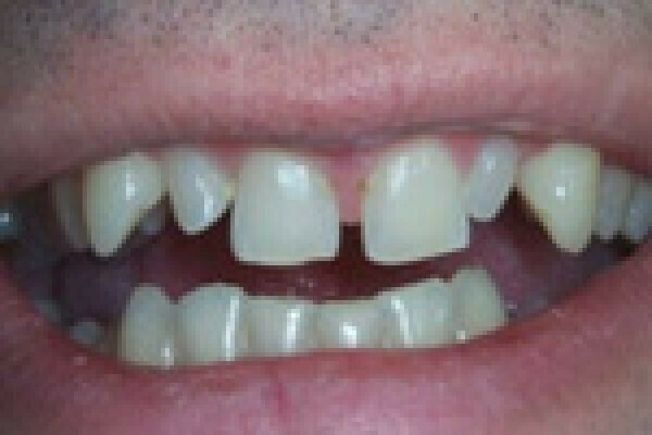
Microdontie des latérales. L'espace inter incisif est occupé par la gencive.

 

Microdontie des latérales. L'espace inter incisif est occupé par la gencive.

 

 

 

microdontie-paris3.jpg

 

Vue de profil

 

microdontie-paris4.jpg

 

En occlusion.

 

microdontie-paris5.jpg

 

Les préparations, une gingivectomie a été réalisée aux collets des incisives latérales et la papille entre les incisives centrales a été supprimée.

 

 

microdontie-paris7.jpg

Vue de face après la pose des 6 facettes, une semaine après le collage.

microdontie-paris8.jpg

Vue vestibulaire, la gencive cicatrise exactement selon notre souhait et l'anatomie qui lui a été imposée.

microdontie-paris9.jpg

 

En occlusion.

 

microdontie-paris10.jpg

Vue de profil.

microdontie-paris11.jpg

Vue au départ, le sourire est assez crispé.

microdontie-paris12.jpg

Après la pose des facettes.

 

 

Grâce à la fiabilité dans les collages, nous pouvons proposer des traitement spectaculaires qui peuvent transformer la vie sociale de nos patients. 

Dr Jacques Nahon  Paris 16