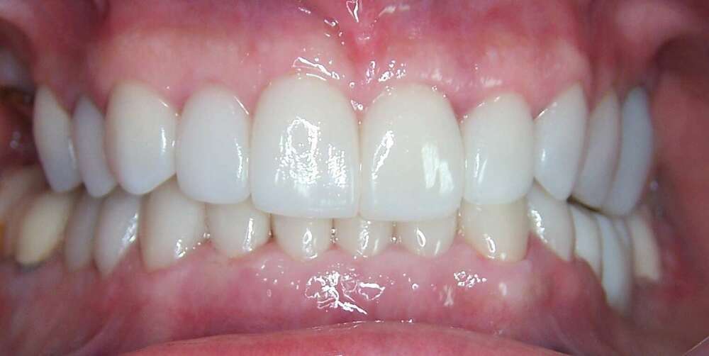
Restructuration du sourire - Cas du mois d'octobre 2015
Restructuration du sourire avec une alternance de couronne en céramique et des facettes dentaires




Restructuration du sourire avec une alternance de couronne en céramique et des facettes dentaires