Cas du mois de décembre - Éclaircissement, alignement et soins des gencives
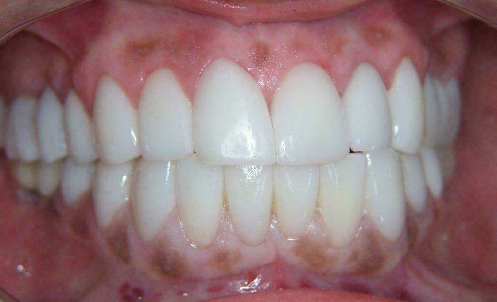
Notre patiente désirait des dents claires et alignées ainsi qu'un soin des gencives.
Toutes les dents antérieures ont été préparées puis des facettes ont été collées, dans le même temps une petite plastie gingivale nous a permis de retrouver une gencive parfaitement saine. L'anatomie des facettes et l'état lisse de surface sont des facteurs très favorables pour la cicatrisation des gencives.





