Dentiste Esthétique à Paris 16 ème - Facettes
Cabinet dentaire du Dr NAHON- Dentisterie Esthétique - Implant dentaire
+33 1 45 04 53 34
73 Avenue Paul Doumer, 75116 Paris

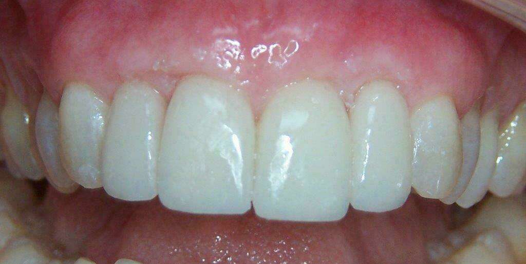
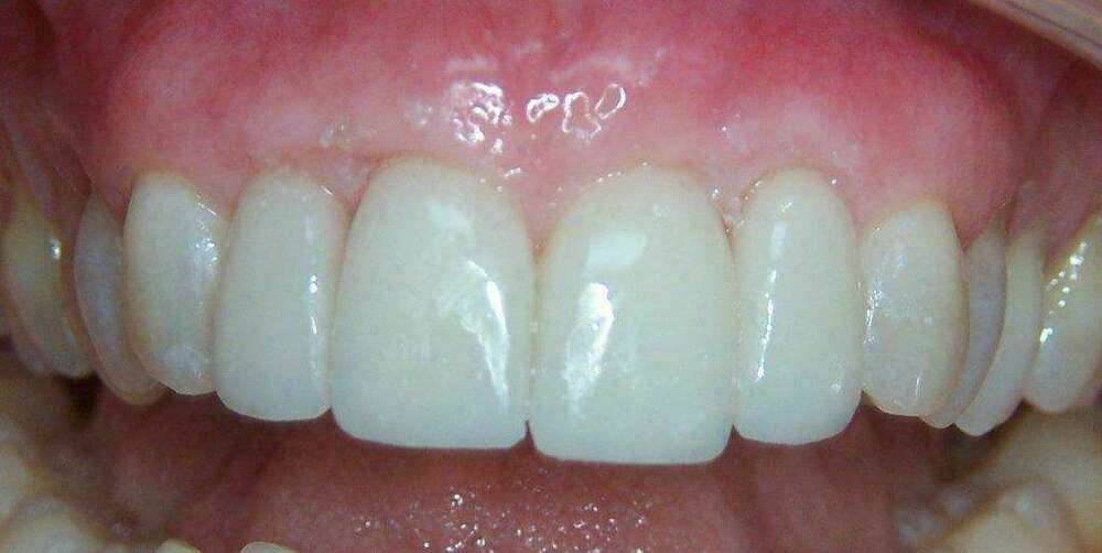
Cas décembre 2020


Réhabilitation du sourire avec une greffe gingivale puis 4 facettes en céramique.