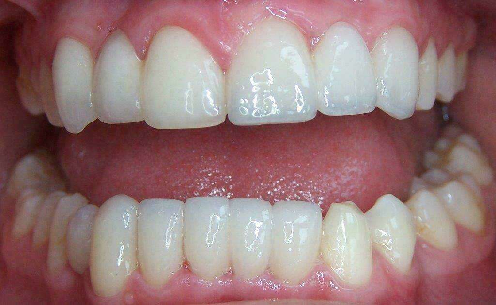
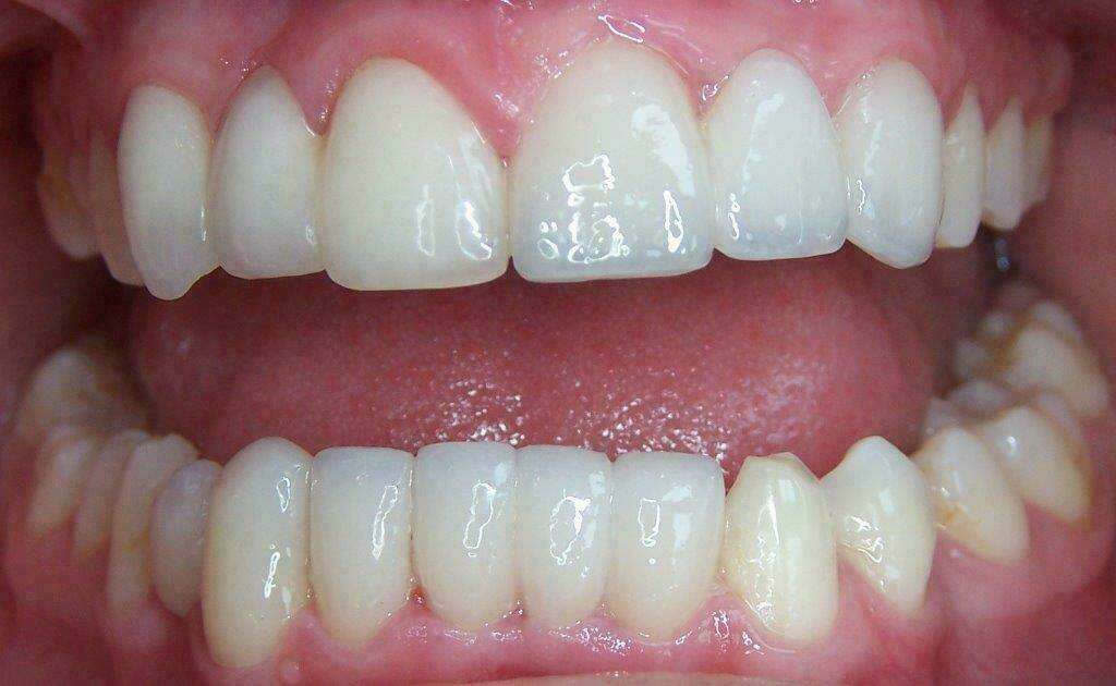
Cas de avril 2021
Remplacement d'une dent de lait sur les dents du bas par un bridge collé et
réalisation de facettes.
 
   
  Réhabilitation du sourire avant après.
 
   
   
   
   
  Réhabilitation du sourire avant après.
 
   
  